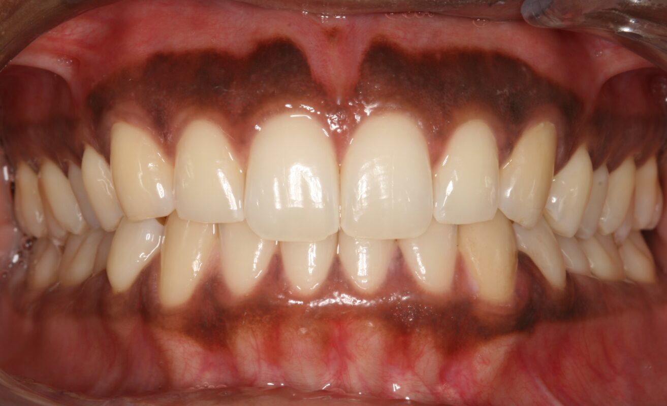
牙龈漂白前后

前

后
该病例采用先进的牙龈脱色术治疗严重的黑色素沉着,恢复均匀、健康的粉红色外观。手术消除了上下牙龈的黑色素沉着,显著提升了整体笑容的美感,增强了患者的自信心。
经委员会认证的牙周病医生亚历克斯-法诺什(Alex Farnoosh)博士开创了一种牙龈漂白技术并申请了专利,这种技术能为多年来牙龈发黑的患者带来永久性的改变。在这里,您可以亲眼目睹法诺什医生在比佛利山庄诊所治疗牙龈发黑或变色患者所取得的显著效果。
永久性牙龈美白让您重拾自信笑容。如果你想了解更多有关黑色牙龈治疗的信息,以及如何获得下面所看到的效果、 预约 在线或致电 (310) 928-1796 预约咨询。
您还可以滚动浏览更多 照片 法诺什医生的患者所享受到的牙龈漂白效果。这些效果包括 牙龈漂白图片库 展示了法努什博士最优秀的作品:
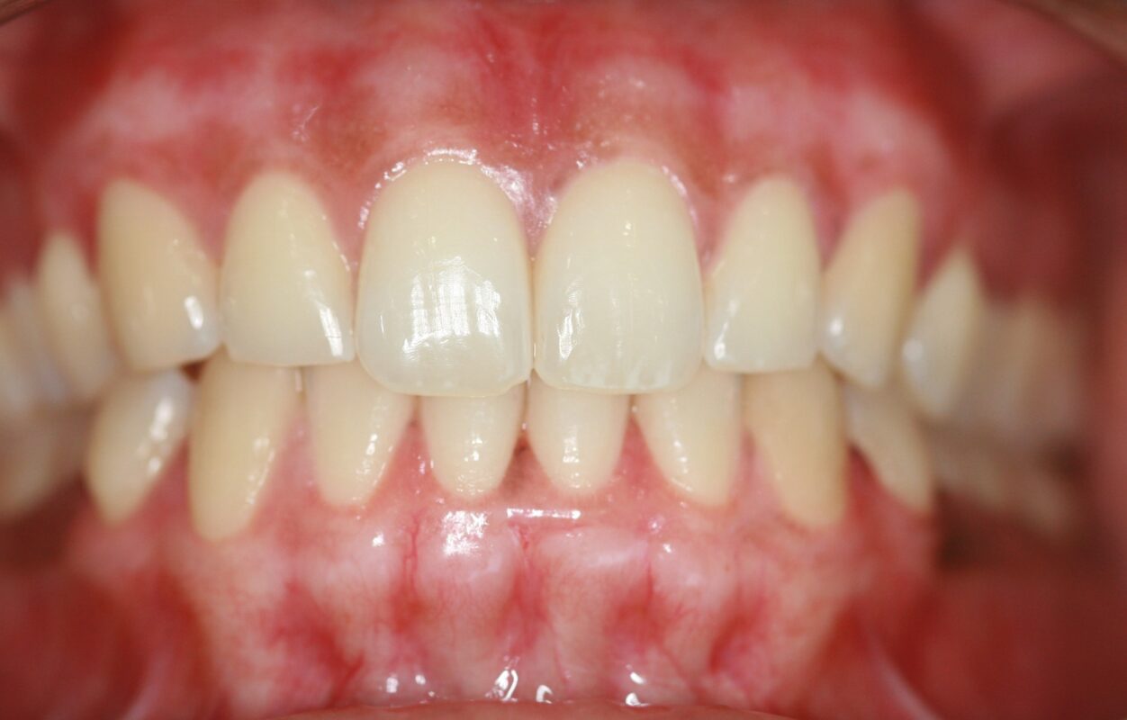
前
后
该病例采用先进的牙龈脱色术治疗严重的黑色素沉着,恢复均匀、健康的粉红色外观。手术消除了上下牙龈的黑色素沉着,显著提升了整体笑容的美感,增强了患者的自信心。
前
后
由 Farnoosh 医生发明的牙龈漂白术治疗的牙龈色素沉着。请注意,"术后照片 "由患者本人拍摄,照片质量受到影响。
前
后
这位来自亨廷顿海滩的女士在接受了德克萨斯州休斯顿一位医生的牙龈变色激光治疗后,第一次来到法诺什医生的诊所。
她对治疗结果很不满意,于是决定上网寻找其他医生。她找到了法诺什医生,法诺什医生在 2014 年用他的专利技术治疗了色斑。 牙龈漂白技术.患者称这次治疗是 "给自己的毕业礼物"。
前
后
由于 Farnoosh 医生的出色疗效和对患者需求的关注,全国各地的男性和女性都慕名来到比佛利山庄,接受他的治疗。
"法诺什医生真正关心他的病人,会不遗余力地确保他们快乐、满意和健康"。
我们没有理由忍受牙龈发黑或变色。 申请预约 或立即拨打我们的办公室电话 (310) 928-1796 预约咨询。
前
后
这位女士从家乡纽约飞到洛杉矶接受牙龈漂白手术。她当天就接受了法诺什医生的治疗,并于当晚搭乘航班返回。这位患者说,这是她做过的 "最疯狂的事情之一"。她还说,牙龈漂白治疗是 "我为自己做的最好的事情"。任何一个生活在牙龈发黑、笑起来需要捂住嘴巴的人都能理解为什么有人会做这样的旅行。
一位朋友向我推荐了 Farnoosh 牙医,我真的很高兴他这么做了!我的牙龈发黑,总是对自己的笑容感到自卑。Farnoosh 牙医在我身上创造了奇迹,我非常感激他。工作人员非常友好,为我创造了一个无压力的环境(这在看牙医时总是一个优点)。谢谢 Farnoosh 牙医 - 我一定会向我所有的朋友推荐您。- Rick G.